LBA (Live Blood Analysis)
Apakah itu LBA?
LBA (Live Blood Analysis)
- Merupakan pemeriksaan kualitas darah.
- Untuk mengevaluasi kesehatan secara dini.
- Bukan merupakan alat diagnostik untuk beberapa penyakit yang spesifik.
- Screening test untuk merefleksikan bagaimana kebiasaan pola makan, pola hidup yang akan mempengaruhi kesehatan.
Pentingnya LBA untuk deteksi penyakit
LBA merupakan screening awal/deteksi dini terhadap:
- Indikasi status imunitas yang rendah.
- Liver dan spleen (limpa) stress.
- Defisiensi vitamin dan mineral.
- Ketidakseimbangan kalsium & gula darah.
- Infeksi jamur, kedudukan parasit.
- Masalah pencernaan.
- Kecenderungan atherosclerotic (penyempitan/pengerasan arteri jantung karena plak).
- Keracunan logam berat.
- Kecenderungan kanker & penyakit degeneratif.
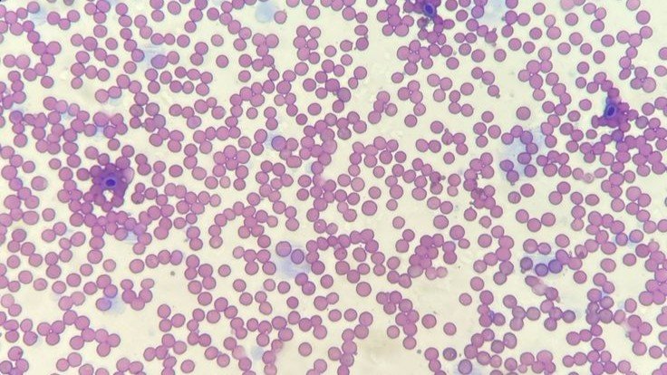
Sel Darah Normal

Sel darah merah sehat memiliki permukaan luas untuk membawa oksigen dan nutrisi, sehingga oksigen & nutrisi bisa dengan cepat dan efektif diedarkan ke seluruh tubuh.
- Berbentuk bulat
- Ukurannya sama
- Terpisah-pisah
- Bergerak bebas
- Jumlah sel darah merah lebih banyak dari pada sel darah putih
- Tidak membentuk rantai
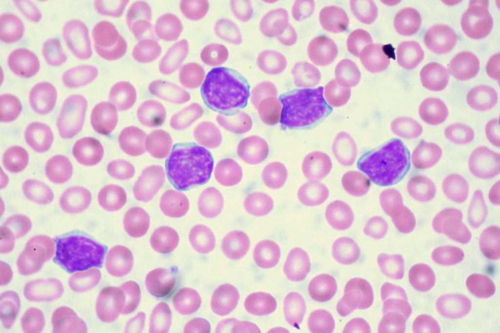
Sel Darah Putih Normal
- Sel darah putih terdapat 1 atau 2 sel pada setiap 500 – 700 sel darah merah.
- Sel darah putih berfungsi untuk melindungi dan sebagai pertahanan tubuh melawan infeksi dan akan membunuh sel yang bermutasi.
- Sel darah putih mempunyai banyak bentuk dan aktif bergerak. Dalam keadaan normal, di sekitarnya tidak terdapat parasit, bakteri, bekuan darah ataupun massa lainnya.
- Sel darah putih terbagi dalam 5 jenis sel darah putih yaitu Netrofil, Eosinofil, Basofil, Monasit, Limfosit.
Netrofil

Netrofil bersifat fagositasis yaitu memakan mikroorganisme asing seperti bakteri. Netrofil akan bertambah bila ada proses peradangan, kelelahan fisik berlebihan, penyuntikan epiniprin (pemacu kerja jantung). Netrofil juga sering terlihat pada kasus anemia pernicious, indikasi kekurangan atau tidak terserapnya vitamin B12 dan asam folat dan juga terjadi karena kelainan bawaan serta rendahnya fungsi kelenjar timus.
NETROPENIA adalah menurunnya jumlah netrofil yang signifikan, yang disebabkan penggunaan obat mielosupresif (menekan sumsum tulang belakang), kemotherapi, konsumsi obat analgesik dalam waktu lama, antibiotik dan antihistamin.
Hal ini ditandai dengan:
- rasa tidak nyaman,
- lemah,
- pusing,
- sakit otot,
- luka pada selaput mukosa,
- demam serta
- denyut jantung berlebihan.
Eosinofil

Eosinofil berfungsi sebagai antigen dan antibody.
Eosinofil akan bertambah pada penderita asthma, reaksi obat-obatan, adanya parasit tertentu, keadaan alergi, termasuk alergi makanan, kerusakan tulang, menstruasi, berbagai macam iritasi atau inflamasi, arthritis dan penyakit degeneratif, kanker.
Keluhan :
- kehilangan berat badan,
- demam,
- berkeringat di malam hari,
- membengkaknya limpa,
- serta terganggunya paru-paru dan jantung.
Basofil

Basofil mengandung berbagai enzim, platelet/trombosit, heparin / pengencer darah dan histamin.
Basofil sangat berhubungan dengan proses alergi atau sensifitas terhadap makanan atau lingkungan.
Basofil melepaskan mediator kimia untuk membantu darah dan sangat berguna dalam berbagai keadaan cedera supaya tidak kehilangan banyak darah.
Monosit

Monosit mempunyai peran sangat penting bagi tubuh, untuk sekresi enzim, kematangan sell, berinteraksi kompleks dengan immunogens (partikel dan unsur penting protein dari sistem imunitas).
Bentuknya lebih besar dari netrofil dan memiliki 1 inti.
Monosit memiliki fungsi fagosit yaitu menyingkirkan zat-zat kontaminan, sel-sel yang cedera dan mati dan mikroorganisme patogenik.
Limfosit

Limfosit terbagi menjadi 2 yaitu Limfosit T sebanyak 75% dan Limfosit B sebanyak 25% .
Dimana Limfosit T bertanggungjawab atas respon kekebalan selular melalui pembentukan sel yang reaktif antigen dan juga berfungsi menjinakkan radikal bebas dalam aliran darah maupun dalam kelenjar limfatik.
Sedangkan Limfosit B berfungsi untuk menghasilkan antibodi immunoglobulin.
Sel ini meningkat dalam darah pada pasien dengan kondisi penyakit serius (penyakit AIDS), stres limfatik, toksin, narkoba dan residu obat-obatan kimia yang mengandung toxin.
Sel Plasma

Sel plasma terbentuk dari respon patologis pada limfosit B setelah mengalami aktifasi. Ukuran sel plasma paling kecil diantara sel darah putih lainnya, tampak keabu-abuan, terdapat butiran dalam cairannya, intinya berbentuk bulat seperti telur, sedikit cekung letaknya di tengah / di tepi sel dan kromatinnya agak padat.
Jika sel plasma bertambah banyak berarti belakangan ini terinfeksi virus atau infeksi kronis misalnya TBC, Hepatitis yang menular dan sifilis bawaan.
Sel Darah Merah Rantai Pendek

- kurang aktif & darah kental tingkat ringan
- 3-5 sel darah merah membentuk seuntai rantai
- disebabkan kelainan protein
- sel darah merah perlahan kehilangan energi
Sel Darah Merah Rantai Panjang

- kurang aktif & darah kental tingkat menengah
- darah kental, pada dasarnya sel darah merah telah kehilangan energi
- disebabkan metabolisme protein yang kacau permukaan sel darah merah yang efektif membawa oksigen berkurang drastis sehingga sirkulasi oksigen terhambat. Jika kondisi ini tidak segera diperbaiki, maka penderita akan cepat merasa lelah, lemah, sering ngantuk
Sel Darah Menggumpal

- kurang aktif & darah kental tingkat berat
- disebabkan kadar lemak tinggi
Sel darah merah sama sekali kehilangan energi, tidak saja membatasi sirkulasi oksigen tapi juga mengurangi jumlah sirkulasi darah melalui pembuluh darah halus. Jika tidak segera diperbaiki, maka akan mudah membentuk gumpalan darah yang besar.
Sel Darah MERAH REULEOU / Rantai Panjang

- Sel darah merah yang menggulung dan menyerupai gundukan coin.
- Bentuk sel darah merah menjadi sangat tidak jelas.
Penyebab darah REULEOU
- Banyak mengkonsumsi protein hewani.
- Darah sangat banyak racun, yaitu dari faktor stres, kopi, rokok, daging, minyak.
- Kurang minum air putih.
- Sering kesulitan mencerna protein.
Keluhan yang dirasakan :
- Tubuh lemah.
- Nafas pendek karena sel darah merah tidak maksimal membawa oksigen ke jantung.
- Tangan dan kaki dingin oleh karena sirkulasi darah yang sangat buruk.
- Sering terjadi kram dan kesemutan.
Pembentukan Reuleou yang sangat banyak akan menyebabkan:
- Kerusakan aliran darah pada pembuluh darah kecil / Arteri sehingga sel darah merah tidak bisa melakukan pertukaran CO2 dengan O2 akibatnya terjadi Hypoxia dan Acidosis
Rouleau sering terdapat pada penderita :
- Arthritis, diabetes, kematian otot jantung karena kekurangan aliran darah dan oksigen, pasien yang sering minum alkohol, alergi, infeksi, akibat benturan keras.
PROTEIN LINKAGE / Protein tidak tercerna

Protein linkage merupakan tanda awal perlengketan sel darah merah dan jika tidak diperbaiki dari awal, dapat berlanjut menjadi rouleau.
Merupakan tanda awal kelebihan konsumsi protein / protein yang tidak bisa tercerna dengan sempurna.
Ketika sel mulai membentuk batang bersama itu merupakan tanda awal kesulitan jantung untuk memompa darah ke pembuluh vena dan pembuluh arteri
BUTIR-BUTIR LAKTEAL / Butir Salju

- Butiran (titik-titik) putih kabur seperti salju yang berada di antara sel darah.
- Butiran lacteal terbentuk dari trigliserida, kolesterol, dan lapisan luarnya terbentuk dari phospholipid, kolesterol & lipoprotein.
- Dalam jumlah sedikit normal, tapi jika sering terlihat dalam jumlah banyak, berarti fungsi organ tubuh terganggu atau rusak (terutama liver, empedu, limpa, pankreas). Juga bisa disebabkan karena usia tua, struktur makan/minum yang salah, kekurangan enzim tertentu.
- Tanda-tanda penyakit hiperlipoprotein, yang bisa menyebabkan jantung koroner, arteriosklerosis, pembengkakan liver & limpa, toleransi glukosa terganggu.